Cabinet La Dent Sur Foron - TAVERNIERS
Orthodontie exclusive à La Roche Sur Foron - Dr Taverniers Jeroen
Cabinet La Dent Sur Foron - TAVERNIERS
Orthodontie exclusive à La Roche Sur Foron - Dr Taverniers Jeroen

73 Avenue Charles de Gaulle 1er étage 74 800 LA ROCHE SUR FORON
 

+33 4 50 25 58 46
 

Blog - Page 14

L'orthodontie : une affaire de spécialistes

L'orthodontie : une affaire de spécialistes

Bridge collé

Bridge collé

Comblement osseux après une extraction dentaire

Comblement osseux après une extraction dentaire

Maxillaire complet et traitement implantaire pour un bridge fixe vissé

Maxillaire complet et traitement implantaire pour un bridge fixe vissé

Comblement de sinus par abord latéral sans pose d’implant

Comblement de sinus par abord latéral sans pose d’implant

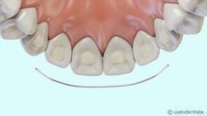
Fil de contention

Fil de contention

Affichage des articles 79-84 sur 137

Création par Webdentiste

Connexion